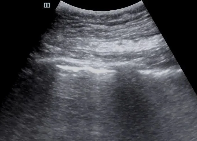
This post by Dr. Jordan DeAngelis reviews the use of point-of-care lung ultrasound to assess for pneumothorax, focusing on image acquisition, interpretation of lung sliding and the lung point, and practical tips to avoid common pitfalls.
Read More
This post by Dr. Jordan DeAngelis reviews the use of point-of-care lung ultrasound to assess for pneumothorax, focusing on image acquisition, interpretation of lung sliding and the lung point, and practical tips to avoid common pitfalls.
Read More